Odontoiatria Estetica
Il sorriso è la porta di ingresso nella vita e nelle relazioni
"Perché inserire l’estetica come prima voce tra i trattamenti dello studio? La priorità di una terapia è quella di ristabilire lo stato di salute. In realtà la richiesta di un miglioramento dell’estetica del sorriso è tra i desideri più frequentemente manifestati dai nostri pazienti. Partiamo dal principio che non esiste estetica se non è presente uno stato di salute orale e gengivale. Un investimento sull’aspetto del sorriso non deve peggiorare la prognosi dei denti. Il rischio è frequentemente presente se la qualità delle cure non è adeguata. Mi piace pensare che se i miei pazienti investono in un bene non indispensabile debbano ottenere un miglioramento significativo del loro aspetto e che questo miglioramento sia a lunga durata"
Lo sapevi che...
Per tutti questi motivi progettiamo le riabilitazioni estetiche utilizzando tecniche minimamente invasive, cercando di non eliminare i tessuti dentali naturali o di farlo in misura molto ridotta. Là dove i denti sono integri riabilitiamo con faccette additive, senza quindi toccare il dente del paziente, ma incollando solo una sottilissima faccetta con la quale doniamo brillantezza al dente, cambiamo il colore e cambiamo la forma per ottenere l'estetica desiderata.
Il progetto in cera del lavoro viene fatto dal nostro odontotecnico in una dimensione di continua collaborazione con me e tutto lo staff dello studio è coinvolto nella valutazione estetica in modo che il confronto ci possa portare a valutazioni più oggettive. La documentazione fotografica delle diverse fasi della terapia costituisce un importante aiuto dal punto di vista diagnostico e progettuale. Il primo step, il mock-up senza toccare in alcun modo i denti consente al paziente di vedere come sarà il lavoro finito. Da lì una volta approvato quello che sarà il risultato finale comincia l’iter terapeutico.
La bellezza salverà il mondo." (Fëdor Dostoevskij)
ContattaciPrima
Dopo
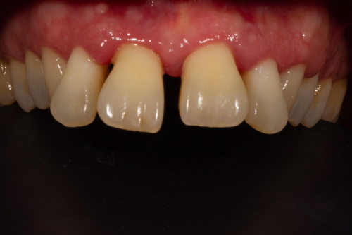
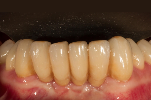
Prima
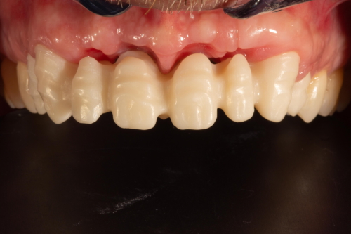
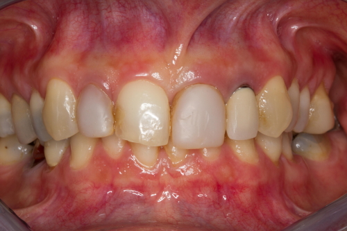
Dopo
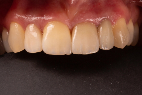
Prima
Dopo
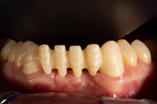
Impianto della protesi per fasi











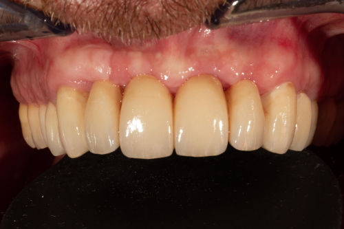
Impianto della protesi per fasi, secondo caso






